![]()
昨年の4月から睡眠時無呼吸症候群治療用マウスピースが保険で適用となりました。
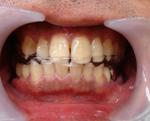
材質は透明レジンで自分ではずせて寝ている間は上下の歯を固定するという本来あり得ないバランスが難しかったのですがオーバージェット、オーバーバイト(前歯のかみ合わせが深く上顎が前方に出ている。側面観がバードフェイス、鳥傍)ともに標準よりも強かったので効果的といえました。
下顎を前方に約8ミリほど出し、切端咬合として口腔内のスペースを増し、舌根の沈下を抑えていびきを防ぐという理屈です。
3ヶ月ほど使わなくては本来の効果が出ないのですが1週間装着後の感想としては家族からいびきがかなり減ったという良い評価を得ました。
朝起きると無意識のうちにはずしてしまっていたということが多かったようですが、今後はこの位の違和感だったら装着できるだろうとの感想でした。


